Our excellenceOur best dental treatment & solutions to all your dental problems

Full mouth rehabilitation

Full mouth rehabilitation involves the replacement of one or all missing teeth, and the restoration of affected teeth to provide optimum function and esthetics to the patient. This procedure is called ‘Full-Mouth’ because it is an extensive rehabilitation of teeth and associated structures and may involve replacement/restoration of all the teeth in your mouth with crowns and bridges or implant supported teeth.

Root Canal Treatment

When decay reaches the nerve area inside the tooth, bacteria which caused the decay will infect the nerve and blood vessels and the infection will cause pain. If this happen the only way to save the tooth and ease the pain is to remove the nerve and blood vessels from inside the tooth. The combination of nerve and blood vessels is called “Pulp Tissue”. The space that pulp sits in is called pulp chamber inside the crown of tooth and as it goes down into the roots, it is called “Root Canal”. So when we do root canal treatment we actually remove all the pulp tissue from pulp chamber and root canals all the way to the tip of the root.

Here at Sri chakraa dental clinic root canal is a single sitting 30 min painless procedure employing the most advanced technologies and laser for effective bactericidal effect.

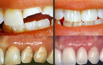
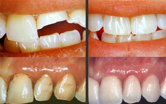
Esthetic Dentistry

Esthetic Dentistry is the art and science of dentistry applied to enhance the smile of an individual within functional and physiological limits, through accurate diagnosis, methodical treatment planning, the use of advanced materials and contemporary techniques all delivered by our team of specialists. Esthetic Dentistry is for the most of them used to hide to any cure tooth work that enhances the appearance (however not really the capacity) of a patient’s teeth.

Smile Designing

How your smile appears depends on the shape and curvature of your mouth. Before we determine the right cosmetic dental procedures for you, our specialists will analyze your smile. The Smile Analysis will reveal the different aspects of your smile when you are slightly smiling, actively smiling, or laughing. In analyzing the smile our specialists will review the shape and curves of your lips, the teeth, and gums. Our objective with the Smile Analysis is to give you that complete Smile Makeover.

A low lip line will hide all or most of the upper teeth and project a weak, timid, and aged look. A high lip line will expose all the teeth and much of the gums giving a gummy smile. Ideally, we aim for a medium lip line displaying prominent upper teeth projecting a youthful, dominant personality.

Minor gingival biopsies

Gingival enlargement is one of the frequent features of gingival diseases. However due to their varied presentations, the diagnosis of these entities becomes challenging for the clinician. They can be categorized based on their etiopathogenesis, location, size, extent, etc. Based on the existing knowledge and clinical experience, a differential diagnosis can be formulated. Subsequently, after detailed investigation, clinician makes a final diagnosis or diagnosis of exclusion. A perfect diagnosis is critically important, since the management of these lesions and prevention of their recurrence is completely dependent on it.

Maxillofacial Surgery

Maxillofacial Surgery is surgery to treat many diseases, injuries and defects in the head, neck, face, jaws and the hard and soft tissues of the oral (mouth) and maxillofacial (jaws and face) region.face as a result of the accident. In addition to cleaning up the physical appearance of a damaged face, the surgeon can address nerve damage and other issues that may cause pain for the patient. Especially if the patient is treated quickly, the long term impacts of accident damage can be greatly reduced.

Dental Implants

A dental implant is an artificial tooth root that is placed into your jaw to hold a replacement tooth or bridge. Dental implants may be an option for people who have lost a tooth or teeth due to periodontal disease, an injury, or some other reason. As a leading provider of dental implants, at Sri Chakraa Dental Clinic we can treat a single tooth replacement or complex full mouth rehabilitation. We offer safe, minimally invasive procedures that results in less discomfort, reduced swelling and shortened healing times.

Oral Surgery

Oral surgery may be required for a variety of reasons. You may have an impacted tooth trapped in the jawbone or a tooth that is poorly positioned and damaging neighboring teeth. It is especially common to have these types of problems with growing wisdom teeth. Oral surgery is also necessary for the placement of dental implants and for a few types of gum treatments.

Laser Dentistry

Laser dentistry can be a precise and effective way to perform many dental procedures. The potential for it to improve dental procedures rests in the dentist’s ability to control power output and the duration of exposure on the tissue (whether gum or tooth structure), allowing for treatment of a highly specific area of focus without damaging surrounding tissues.

Laser is an emerging boon in the field of dentistry and has the following advantage.

• No need for injection.

• Bloodless, Painless procedure.

• Minimal discomfort for the patient.

• Most convenient for children and old age patients.

Laser can be effectively employed for making yellow / brown stained teeth to look brighter and whiter by BLEACHING. Laser can also be also applied for various cosmetic and aesthetic needs of patients like correcting gingival (gum) growth and gingival colour change.

Teeth Replacement

You can end up with missing teeth due to a number of factors, but don’t worry – at Sri Chakraa our highly experienced general dentists and specialists have the skills to get you smiling again.

Depending on the position and number of teeth you have lost, you are likely to be a candidate for at least one of the following options.

• Dental implants with zirconia crowns

• Fixed partial dentures with Zirconia Bridge work.

• Full mouth rehabilitation

• Bps complete denture

• All on four (Implant based full teeth replacement).

• Cast partial denture. (Metal based removable)

Dental Jewellery

You can look more beautiful with our exclusive range of dental jewels of various colours and size of your choice. Try it here at your Sri chakraa dental clinic and have a dazzling smile for sure

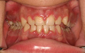
Orthodontic appliance

Various early age teeth or jaw correction can be effectively corrected by employing braces (clip) Ceramic braces (teeth colored) and lingual / orthodontics (Braces are not visible) are done here.